Srikara Hospitals, Miyapur

+91-7799111005

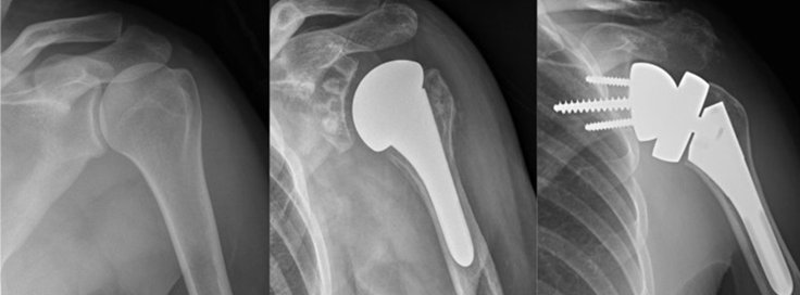
SHOULDER REPLACMENT

Shoulder Replacement Surgery

Shoulder replacement surgery is a procedure that replaces a damaged shoulder joint with an artificial implant. It is recommended for individuals with severe shoulder arthritis, fractures, or chronic pain that limits mobility. This surgery restores function and improves shoulder mobility.

Types of Shoulder Replacement Surgery

1. Total Shoulder Replacement – Replaces both the ball (humeral head) and socket (glenoid).

2. Partial Shoulder Replacement – Only the humeral head is replaced.

3. Reverse Shoulder Replacement – Used for rotator cuff tear arthropathy, where the ball and socket positions are reversed.

Who Needs Shoulder Replacement?

  • Patients with severe shoulder pain that affects daily activities.
  • Individuals with shoulder osteoarthritis or rheumatoid arthritis.
  • Those with a shoulder fracture that cannot heal properly.
  • Shoulder Replacement Procedure

  • The damaged bone and cartilage are removed.
  • A shoulder implant is placed to restore joint function.
  • The surgery is performed under general anesthesia and takes 1-2 hours.
  • Recovery After Shoulder Replacement

  • Physical therapy is crucial for regaining strength.
  • Patients wear a shoulder sling for a few weeks.
  • Full recovery can take 3-6 months, depending on the patient’s condition.
  • Benefits of Shoulder Replacement

  • Pain relief and improved joint function.
  • Enhanced shoulder strength and mobility.
  • Long-lasting results with proper care.
  • Shoulder replacement surgery is an effective solution for chronic shoulder joint issues. Consulting a specialist helps determine the best approach for long-term relief.

    Address


    Madinaguda

    Srikara Hospitals,

    Open Hours:

    Srikara Hospitals
    Mon - Sat: 9:00 Am - 8:00 Pm,


    Dr Arun Vontela (Clinic)
    Op Timings
    6:00 Pm - 9:00 pm.

    © All rights reserved by ARUN ORTHO CARE - Designed By Venlas Group.